Our Family Blog
 
 
 

2015年6月11日木曜日

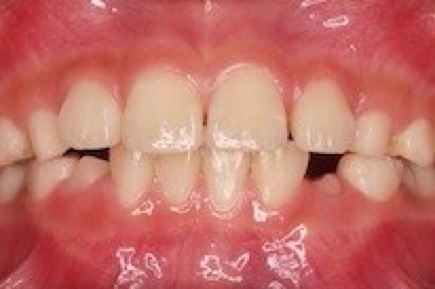
見えない矯正

 

矯正治療にも色々あるんですよ。今回は“見えない矯正”です。上の写真は矯正治療中の写真です。装置が入ってるんですが、見えませんよね?実は裏側にワイヤーが入ってるんです。口を大きく開けた時だけ裏側に装置が見えるんです。これだと、矯正装置が見えるのが気になって、矯正治療をするのを迷っていた方も気にせず矯正治療ができますよね。

 
 

次へ >

< 前ヘ

Made on a Mac